コンテンツ
- Is Antioxidant Therapy a Useful Complementary Measure for Covid-19 Treatment? An Algorithm for Its Application
Is Antioxidant Therapy a Useful Complementary Measure for Covid-19 Treatment? An Algorithm for Its Application
https://www.mdpi.com/1010-660X/56/8/386/htm
要旨
重症急性呼吸器症候群コロナウイルス2(SARS-CoV-2)は、重症肺炎、肺胞崩壊を伴い、酸素交換が停止するコロナウイルス病19を引き起こす。ウイルスの感染性と病原性は、宿主の受容体による認識、宿主膜のプロテアーゼ切断、融合に依存する。SARS-CoV-2はアンジオテンシン変換酵素2受容体に結合する。
ここでは、ウイルスの一般的な特徴、その作用機序、および死亡率を増加させる併存疾患との相関性について議論する。また、現在提案されている治療法についても議論し、SARS-CoV-2に感染した患者に対する抗酸化剤の使用を提案する。
酸化剤は、組織に侵入する好中球、単球、マクロファージ、好酸球などの貪食性白血球に由来する。フリーラジカルは細胞毒性を促進し、細胞を傷つけます。また、NF-κBの活性化を仲介し、サイトカイン産生遺伝子の転写を誘導することで炎症のメカニズムを引き起こする。サイトカインの放出は炎症反応を促進する。酸化ストレスは重篤な疾患時に上昇し、臓器不全の一因となる。コロナウイルス病19では、サイトカインストームとして知られる激しい炎症反応が見られ、これは酸化ストレスによって媒介されている可能性がある。
抗酸化療法はコロナウイルス病-19では試験されていないが、敗血症、急性呼吸窮迫症候群、急性肺損傷における抗酸化療法の結果は知られている。酸素化率、グルタチオンレベルを改善し、免疫応答を強化する。それは、急性肺損傷/急性呼吸窮迫症候群における機械的換気時間、集中治療室での滞在期間、多臓器機能不全、入院期間、死亡率を減少させ、したがって、コロナウイルス感染症19の患者を助ける可能性がある。
キーワード COVID-19; 抗酸化療法; ACE2受容体; 敗血症; SARS-CoV-2
1. 序論
2019年12月、重症急性呼吸器症候群コロナウイルス2(SARS-CoV-2)によるコロナウイルス病2019(COVID-19)と呼ばれる新型疾患が発生した。ウイルスは、タンパク質が挿入された膜に囲まれたポジセンス一本鎖RNAで構成されている。SARS-CoV-1とゲノム配列の82%を共有するSARS-CoV-1と、ゲノム配列の50%の相同性を持つ中東呼吸器症候群コロナウイルス(MERS-CoV)の変異体である[1]。
RNAゲノムは、非構造タンパク質と構造タンパク質をコードしている。(1) ウイルスエンベロープタンパク質(E)は、表面に突出した突起を持つスパイク構造糖タンパク質(S)を含み、ウイルスの宿主への付着に重要であり、トロピズムと感染力を決定する[2]、ウイルス粒子の形状を決定し、ヌクレオカプシドに結合するヌクレオカプシド(N)タンパク質[3]、そしてウイルス複製に関与する宿主転写複合体へのRNA結合を助けるマトリックスタンパク質(M)の4つのグループをコードしている[4]。(2) プロテアーゼ nsp3 および nsp5、(3) テンプレートからの RNA の複製速度を高める非構造タンパク質である RNA 依存性 RNA ポリメラーゼ (RdRp) [5]、および (4) 2 つの重複するオープンリーディングフレームからなる遺伝子を持つレプリカーゼである 4 個以上の 3′末端サブゲノム mRNA のセット [5]。このウイルスや他のコロナウイルスの突然変異能力は、動物とヒトの間の感染を容易にするため、人獣共通感染症の病原体として懸念されている[6]。
進化解析の結果、SARS-CoV-2は単離されたコウモリコロナウイルスRaTG13(GenBank No.MN996532)とよく似ており、全ゲノムの96.2%のヌクレオチド相同性を有していることが明らかになった[7]。このウイルスによる感染は中国の武漢市湖北で始まり、急速にこの国と世界に広がっていった。世界保健機関(WHO)は3月に世界パンデミックにランク付けした。
COVID-2019病は、数時間で肺胞崩壊を起こし、酸素交換が停止する重篤な肺炎を引き起こする。図1は、ウイルス粒子が観察できる気管支中帯の超構造を示している。しかし、比較のために図2は、ウイルス粒子のない気管支炎の中間帯の超構造を示している。
図1 COVID-19の死後患者からの肺の超構造的特徴
患者は当院の68歳女性で、II型糖尿病、虚血性心疾患、高血圧、病的肥満を併存疾患として有していた。電子顕微鏡パネル(A,B)の写真は、Jeol JEM-1011電子顕微鏡を用いて、それぞれ25,000×、50,000×で撮影したものである。パネル(A)は、ウイルス粒子が付着した気管支中帯の2つの筋細胞の分離を示す。パネル(B)は、ウイルス粒子を持つ気管支炎の中間部を示しており、ウイルス粒子は56.2~102nmの間で測定されており、報告されているウイルスのサイズと一致している。略語。C = セルール、CM = 細胞膜、VP = ウイルス粒子。
図2 コントロール対象として急性心筋梗塞と大動脈狭窄を有する28歳男性患者の死後肺生検
ウイルス粒子のない気管支炎。電子顕微鏡パネル(A,B)の写真は、Jeol JEM-1011電子顕微鏡を用いて、それぞれ25,000×、50,000×で撮影したものである。略語は以下の通りである。C=セルール、CM=細胞膜。
このウイルスは2~10日の潜伏期間を持ち、臨床的には重症の呼吸不全から無症候性の感染症に至る。COVID-19の重症患者は、高呼吸回数(30/分以上)、呼吸困難、動脈酸素分圧異常(300未満)、低血中酸素飽和度(93%以下)、および/または肺浸潤(50%以上)を示す。患者は敗血症性ショック、呼吸不全、および/または多臓器不全を起こす [8]。
リンパ減少、乳酸クレアチニンおよびキナーゼ脱水素酵素の上昇、およびIL-5、IL-1β、IL-7、IL-8、IL-10、IL-9、IL-15、IL-12p70、PDGF、VEGF、G脳脊髄液、FGF、IFN-γ、GM脳脊髄液、IP-10、MCP-1、MIP-1A、MIP-1BおよびTNF-αの濃度上昇を特徴とするサイトカインストームが見られる [9]。この状態は、最終的に器質的な完全な不全をもたらす。
炎症反応はフリーラジカルによって引き起こされる可能性がある。酸化ストレス(OS)はNF-κBの活性化を媒介して、サイトカイン産生を促進する遺伝子の転写を誘導する。これらのサイトカインの放出は、炎症反応を促進する。酸化剤は、組織に侵入する好中球、単球、マクロファージ、好酸球などの貪食性白血球から発生する。フリーラジカルは細胞毒性を促進し、細胞を傷つけます。フリーラジカルは細胞の必須成分を分解し、組織間質におけるプロテアーゼ/アンチプロテアーゼのバランスを変化させる [10]。
この論文では、ウイルスの作用機序と、この機序が患者の死亡率を高める併存疾患とどのように相関しているかを議論する。また、現在提案されている治療法についても議論し、COVID-19の重症型の感染者の状態を改善するための補助薬として抗酸化剤の使用を提案する。
2. ウイルスと宿主細胞との相互関係 重症型COVID-19に見られる合併症とのメカニズムの相互作用
ウイルスの透過性と病原性は、主に宿主による受容体の認識、プロテアーゼによる切断、膜融合に依存している。侵入は、Sタンパク質の表面ユニットであるS1とアンジオテンシン変換酵素2(ACE2)受容体との結合に依存しており、これは標的細胞の表面へのウイルスの付着を促進し、Sタンパク質のプライミングのためのセリンプロテアーゼTMPRSS2は、S1/S2およびS2部位でのSタンパク質の切断を伴い、ウイルス膜と細胞膜の融合を可能にする。
このプロセスは、S2サブユニットによって駆動される[11]。ACE2タンパク質は可溶性分子として循環中に存在し、肺、肝臓、腎臓、脳、心臓に結合する[12]。膜に結合するアミノペプチダーゼであり、宿主の免疫系および心血管系において重要な役割を果たしている。高血圧、心血管疾患(心血管疾患)、メタボリックシンドローム(MS)、糖尿病の発症に関与している[13]。ウイルスの特異的な結合機構は不明である。図3にSARS-CoV-2、ACE2と心血管疾患との関係を示す。

図3. SARS-CoV-2とACE2受容体、標的臓器との相互作用とその影響。略語。ACE2=アンジオテンシン変換酵素2、RAAS=レニン-アンジオテンシン-アルドステロン系の阻害剤、ATR1=受容体1型ロサルタン。ALT=アラニンアミノトランスフェラーゼ、AST=アスパラギン酸アミノトランスフェラーゼ。
ACE2受容体関連シグナル伝達経路は、COVID-19の死亡率を高める併存疾患と考えられているいくつかの病態において重要な役割を果たしている[14]。高血圧および心血管疾患患者はこの受容体の発現が高く、これが、これらの患者およびMS、糖尿病、高血圧および肝疾患を含む関連疾患において症状がより顕著である理由の一部を説明しているかもしれない[14]。
COVID-19が確認された1099人を対象とした研究では、重症化した173人に冠動脈性心疾患(5(8%)、糖尿病(16(2%)、脳血管障害(2(3%)、高血圧(23(7%)))などの併存疾患があることが明らかになった。[15]. COVID-19は、患者に存在するACE2受容体の改変された経路において、より多くの変化を引き起こす可能性がある[16]。また、MSを構成する病態とCOVID-2との相互関係は、いくつかの研究で実証されている[17]。
2.1. COVID-19と心血管疾患(高血圧・心筋梗塞)との関係
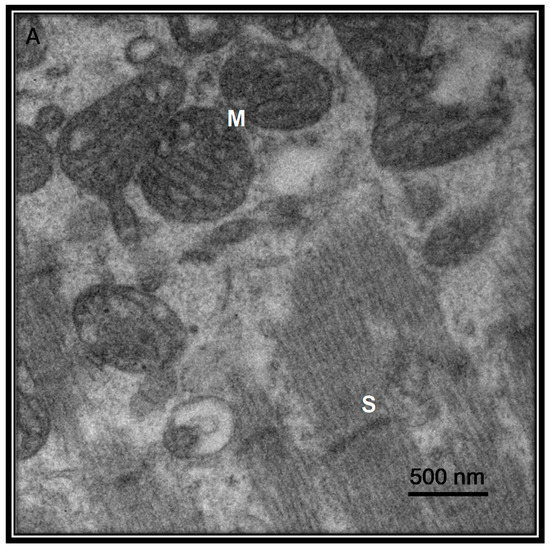
高血圧や心筋損傷は、レニン・アンジオテンシン・アルドステロン系(RAAS)の阻害薬で治療されることが多く、ACE2受容体のレベルを上昇させる可能性がある。最近の報告では、心筋損傷がSARS-CoV-2と関連していることが示唆されている。図4は、COVID-19死後にウイルスの存在を示す患者からの心臓サンプルの超質的特徴を示す。しかし、比較のために図5は、ウイルス粒子のないコントロール被験者としての心臓サンプルの超構造を示している。
図4 COVID-19死後の患者からの心臓サンプルの超構造
この患者は当院の68歳女性で、II型糖尿病、虚血性心疾患、高血圧、病的肥満を併存していた。電子顕微鏡の40,000×の写真はJeol JEM-1011電子顕微鏡で撮影したものである。写真は、細胞質の喪失と内膜の喪失、外膜の変質を伴うチョークの喪失と短縮、心臓線維の破裂を伴う心臓内のウイルス粒子を持つ間繊維状ミトコンドリアを描写している。略語。M=ミトコンドリア、S=サルコメア、VP=ウイルス粒子。

図5. ウイルス性粒子を含まない対照被験者としての心房細動を有する54歳女性患者の生検死後の心臓サンプルの超構造的特徴
ミトコンドリアは規則的な隆起と短いサルコメアを示す。電子顕微鏡写真はJeol JEM-1011電子顕微鏡を用いて40,000倍に拡大した。略語。M=ミトコンドリア、S=サルコメア。
重篤な症状を呈する患者では、ACE2受容体の変化に伴う急性心筋損傷を含む合併症が頻発している[18]。心筋損傷のもう一つの提案されているメカニズムには、1型と2型のTヘルパー細胞の反応の平衡の喪失、呼吸不全、COVID-19の結果として心筋細胞の損傷を引き起こす低酸素血症によって引き起こされるサイトカインストームが含まれている[18]。
血圧(BP)値もまた、ICUで治療を受けたCOVID-19患者では、ICUへの入室を必要としなかった患者とは対照的に、より上昇している。ACE2はAng IIを不活性化し、MAS受容体を活性化して血管を拡張するAng 1-7を供給し、それによりRAASをネガティブに調節する[19]。さらに、血圧を下げるために一般的に使用されているAT1R拮抗薬は、心臓におけるACE2受容体の発現を約3倍に上昇させる[20]。また、AT1R拮抗薬であるオルメサルタンを投与された高血圧患者では、尿中ACE2濃度の上昇が認められた[21]。したがって、AT1Rを長期間遮断することでACE2受容体が上昇し、これらの患者の細胞は細胞結合部位の数が増加してCOVID-19に対してより感受性が高くなる可能性がある[22]。
2.2. COVID-19と肝疾患
COVID-19の重症度は、肝硬変、非アルコール性脂肪性肝疾患、アルコール関連肝疾患、慢性ウイルス性肝炎などの肝疾患と関連しており、SARS患者の病理学的研究では、肝臓におけるウイルスの存在が確認されている[23]。COVID-19を有する患者では、肝臓の合併症が認められ、ASTとALTのレベルが変化していた。また、患者は血清アルブミン値の低下と血清ビリルビン値の上昇を示した[24]。肝細胞の直接ウイルス感染が肝障害の原因と考えられている[25]。また、胆管細胞損傷の診断バイオマーカーであるγグルタミルトランスフェラーゼの上昇もある[24]。このことは、胆管細胞においてACE2受容体の発現が亢進し、SARS-CoV-2がACE2陽性の胆管細胞に結合して肝機能の制御を変化させる可能性を示唆している[26]。
また、COVID-19の臨床検査では、AST値の上昇、プロトロンビン時間の延長、低蛋白血症が認められている。肝臓にSARSウイルス核酸が存在することで、肝臓への直接感染が確認された。さらに、SARSの経皮肝生検では、肝細胞のバルーン化、酸性体、フィブリン沈着を伴わない線維化または小葉活動などの非定型的な特徴とともに、アポトーシスおよびマイトースが認められた。
SARSに関連した肝毒性は、ウイルス性肝炎がある場合に存在する場合もあれば、高用量の抗生物質、抗ウイルス薬、ステロイドなどの消費された薬剤の毒性の影響として、あるいは免疫系の反応の亢進として現れる場合もある[13]。SARS患者の剖検では、肝臓に大量のウイルスが検出された[27]。これは、ACE2受容体が肝臓内皮細胞に存在し、これらの受容体の存在により、この臓器がSARS-CoV-2の潜在的な標的となることを示唆している[28]。図6は、COVID-19の患者の死後の肝臓の超構造の特徴を示している。しかし、比較のために図7は、ウイルス粒子なしで肝臓サンプルのコントロールの被験者の超構造を示している。
図6 COVID-19患者の死後からの超構造肝臓の特徴
患者は68歳。電子顕微鏡パネルAおよびBの写真は、Jeol JEM-1011電子顕微鏡を用いて、それぞれ25,000×および50,000×で撮影したものである。パネル(A)は、ウイルス損傷によるワクチン滴を示している。パネル(B)は、ミトコンドリアの損傷、細胞質、内膜、外膜の変質を伴うチョークの損失を有するミトコンドリアを示す。何かウイルス粒子の測定は、彼らが98と150 nmの間で発見され、ウイルスの報告されたサイズと一致している。略語。GAC =ゴルジ装置シスターン、N =核、M =ミトコンドリア、VD =ワクチン滴、VP =ウイルス粒子。
図7 コントロール対象として急性心筋梗塞と大動脈狭窄を有する28歳男性患者の死後肺生検
ウイルス粒子のない肝臓。電子顕微鏡パネル(A,B)の写真は、Jeol JEM-1011電子顕微鏡を用いて、それぞれ25,000×、50,000×で撮影したものである。略語は以下の通りである。GAC=ゴルジ装置シスターン、N=核、M=ミトコンドリア。
胆管細胞におけるACE2発現は、肝細胞よりもさらに上昇しており、その発現レベルは、肺胞2型細胞に見られるものに類似している。胆管上皮細胞は、肝臓の再生や免疫応答に重要な役割を果たしている。したがって、COVID-19の被験者における肝損傷は、胆管細胞の損傷に起因する可能性がある[29]。
COVID-19患者の肝生検でも、ステアトーシスと肝障害が認められた[30]。COVID-19への感染および本疾患の発症には、多くの肝変化の存在が伴い、これはウイルスの肝臓への影響または薬剤の副作用に起因する可能性がある[31]。さらに、肝障害は免疫介在性の炎症に起因して、サイトカインストームや肺炎に伴う低酸素状態になることもある。これは、COVID-19の重症患者においても肝不全を引き起こす可能性がある[29]。
2.3. COVID-19と呼吸器系および炎症過程との関連性
SARS-CoV-2は、COVID-19が疑われる患者、またはCOVID-19に感染している患者の鼻や喉から採取した綿棒から検出される[32]。この意味で、SARS-CoV-2が下気道および上気道に存在する場合、軽度または重度の急性呼吸器症候群をもたらす。SARS-CoV-2のToll Like Receptor(TLR)への連結は、プロIL-1βの遊離をもたらし、その後、インターロイキンIL-6およびIL-1βなどのプロ炎症性サイトカインの遊離が生じる。これは、インフラマソームを活性化し、肺の炎症、線維化および発熱を引き起こす活性な成熟IL-1βの放出につながる[32]。
COVID-19では、リンパ球数の減少、白血球数および好中球-リンパ球比の上昇、好塩基球、好酸球および単球の割合の低下が見られる。重症例では通常、炎症性サイトカインや感染症に関連するバイオマーカーのレベルが高く、Tリンパ球のCD3+とCD4+の数は有意に減少し、重症例ではより障害されていた。このことは、免疫系の調節が緩慢になっていることを示唆しているが、CD8+とB細胞には重要な変化は見られなかった。サイトカインやケモカインは、ウイルス感染時の免疫病理学や免疫に重要な役割を果たしている[32]。SARS-CoV-2は直接的な細胞病理学的効果を有し、COVID-19の重症度に大きな役割を果たす宿主免疫応答の回避につながる可能性がある。ウイルス感染に対する防御の第一線は、迅速かつ調節された自然免疫応答である;しかしながら、免疫応答が調整されていない場合には、死を引き起こす可能性さえある過剰な炎症を引き起こすことになる[33]。
好酸球の減少は、グルココルチコイドの分泌による骨髄からの好酸球の放出の抑制の結果として、ウイルスによって引き起こされた急性肺損傷のストレス反応と関連している可能性がある。したがって、低好酸球はCOVID-19の進行を示唆しており、その数の増加は回復を示唆しているかもしれない[34]。SARS-CoV-2に感染した患者では、Dダイマー、PKC、プロカルシトニンのレベルが有意に高く、これは非重症患者とは対照的に重症患者に関連していた[24]。
甲状腺外プロカルシトニンの合成および血流への放出は、細菌感染の間に増加し、IL-6、IL-1βおよびTNF-αによって維持される。プロカルシトニンは、多臓器不全、敗血症性ショック、重症敗血症のよく知られた特徴である全身性炎症反応症候群のメディエーターである[35]。しかし、プロカルシトニン・バイオマーカーの産生は、ウイルス感染時に濃度が上昇するINF-γによって低下する。そのため,SARS-CoV-2非合併感染患者ではプロカルシトニン値は正常値を維持しており,その上昇は重症化した患者では細菌感染を示唆している可能性がある[35].
2.4. SARS-CoV-2と酸化ストレスおよび炎症過程との関連
慢性閉塞性肺疾患、急性肺損傷(ALI)および急性呼吸窮迫症候群(ARDS)では、活性酸素種(ROS)および活性窒素種(RNS)の増加がある[36]。これらの事象は、気管支上皮細胞および肺胞マクロファージによるIL-6、IL-8およびTNF-αなどのプロ炎症性メディエーターの放出の増加と関連しており[37]、これらはその後好中球およびマクロファージを活性化し、肺胞壁の破壊および小気道の崩壊をもたらす可能性がある[38]。これらの変化は、内皮障害、肺毛細血管過透過性、肺水腫を誘発し、その結果、肺ガス交換が悪化することがある[39]。
さらに、ARDSにおける重症敗血症では、宿主の感染に対する不十分な反応によって生命を脅かす臓器機能障害がある場合、心血管系は心拍出量を増加させ、動脈拡張をもたらす血行動態プロファイルを採用して末梢抵抗を低下させる[40]。末梢抵抗の過度の低下またはその長期化は、カテコールアミンに難治性の進行性低血圧をもたらし、重度の心血管系障害の一因となる可能性がある[41]。
異なる実験モデルおよび重症敗血症性ショックのヒトでは、異なる経路によるスーパーオキシド(O2-)およびペルオキシナイトライト(ONOO-)の高産生および放出があり、それが肺、心臓、脳および肝臓の障害を助長している[42]。限られた臨床データにもかかわらず、中等度および重度の敗血症性ショックは、SARS-CoVなどの多くのウイルス性疾患で発症し、これはROSおよびRNSの産生を増加させる可能性がある。
これらの分子の過剰産生は、iNOS、NADPオキシダーゼ、シクロオキシゲナーゼ2、キサンチンオキシダーゼの発現上昇と関連しており、NF-κBなどの転写因子を活性化させ、結果として炎症性宿主応答を悪化させる[43,44]。さらに、O2-およびONOO-は、プロ炎症性インターロイキン産生の重要なメディエーターとして参加している。
さらに、これらの分子種は、ミトコンドリア機能不全が敗血症性ショック環境で一般的に誘導されるので、ミトコンドリア呼吸を妨げる可能性のあるより多くの活性酸素およびRNSの産生および放出を刺激し続けるであろう[45]。したがって、抗酸化剤による治療は、COVID-19患者における背景の高酸化状態に関連する過剰な炎症を回避する方法であり得る。
3. COVID-19の治療
COVID-19に対して現在世界で使用されている主な薬理学的治療法は、様々な国で関連性を示している。それらの治療効果は、集団の遺伝学、年齢、性別、および感染時の併存疾患の状態に依存する。また、使用されている薬剤は、患者の転帰に影響を及ぼす可能性のある副作用を有する可能性がある。また、診断の遅れは、薬剤の効果を変化させる可能性がある。また、感染を契機とした炎症性疾患の進展の過程では、損傷のメカニズムが混在しており、その時々でどの薬剤がより重要であるかの判断が困難である。しかし、治療段階では、すべての要因に注意を払わなければならない。
このウイルスに対するワクチンがないため、2段階の併用療法が必要とされている。第一段階では、重度の敗血症や多臓器不全につながる慢性炎症状態の原因であるウイルス負荷を下げることを目的としている。抗酸化剤の使用により、制御されていない炎症状態を減少させることができるかもしれない。第二段階は、敗血症の状態を減少させ、それによって多臓器不全を減少させることを目的としている。2つのフェーズは同時に収束するので、治療戦略は患者の後遺症を避けるために選択されなければならない。
クロロキンとヒドロキシクロロキン
COVID-19の治療薬としてクロロキンが提案されている。この薬剤は70年以上前から世界中で使用されており、WHOの必須医薬品リストにも登録されている。高価ではなく、臨床的な安全性も確立されている。クロロキン、ヒドロキシクロロキンは、現在では自己免疫疾患やマラリアの予防・治療に使用されている。これらの薬剤はまた、SARS-CoV-1などのいくつかのDNAおよびRNAウイルスの複製を抑制する [46]。
クロロキンは、酸性向性アミンからなるキニーネの一形態である。それは1934年にバイエルによって合成され、天然キニーネの効率的な代替品として急増した。キニーネはペルーに生育するシンチョナの木に含まれている。試験管内試験(in vitro)では、クロロキンは、HIV、A型・C型肝炎ウイルス、インフルエンザA H5N1ウイルス、インフルエンザA・Bウイルス、チクングニアウイルス、デングウイルス、ジカウイルス、狂犬病ウイルス、ポリオウイルス、ラッサウイルス、ニパウイルス、ヘンドラウイルス、クリミア・コンゴ出血熱ウイルス、エボラウイルスなどのRNAウイルスに対して抗ウイルス活性を持つ汎用性の高い生理活性剤である。また、DNAウイルスである単純ヘルペスウイルスやB型肝炎ウイルスも抑制する[46]。
クロロキンは、ウイルスの宿主細胞への侵入を抑制し、ウイルスタンパク質のグリコシル化を抑制する[47]。クロロキンは肺などの組織に浸透しやすいため、本剤の常用量で到達する6.90μMの濃度(EC)90では、ウイルスの複製を減少させる効果があった[47]。クロロキンは、ファゴリゾソーム内のエンドソームpHをアルカリ化し、SARS-CoVの細胞受容体のグリコシル化を阻害することで、ウイルス感染をブロックする。また、SARS-CoV-1Aは、DC-SIGN受容体に結合した後、標的細胞に侵入するというpH依存性のメカニズムを持っている。酸性pHのエンドソームで起こる活性化は、ウイルスをエンドソーム膜に融合させ、そのゲノムを細胞質に解放することにつながる。抗ウイルス剤がない場合、ウイルスは酸性pHのあるリソソームに運ばれ、そこでは酵素の活性とともにウイルスが破壊され、核酸と複製に必要な酵素が放出される[48]。
また、クロロキンは細胞シグナル伝達の活性化や炎症性サイトカインの制御を介して免疫系の機能を変化させる[49]。クロロキンはTHP-1細胞におけるカスパーゼ-1およびp38マイトジェン活性化プロテインキナーゼのリン酸化を抑制する。ミトゲン活性化プロテインキナーゼシグナルを介した細胞の活性化は、ウイルスの複製に必要である。HCoV-229 コロナウイルスのモデルでは、クロロキンは p38 ミトゲン活性化プロテインキナーゼを抑制することでウイルスを抑制した。さらに、クロロキンは、THP-1細胞におけるIL-1βの放出を減少させ、インターロイキンIL-1β mRNAの発現を減少させた。また、クロロキンは単球およびマクロファージにおけるIL-6およびIL-1を減少させた[50]。さらに、クロロキンによる免疫細胞によるTNF-α産生の阻害は、細胞の鉄代謝の阻害を介して起こる。また、本剤は、IL-6、IL-12、TNF-α、IFN-α、βおよびγを抑制し、ACE2の受容体のグリコシル化を阻害し、それによりSARS-CoV-2の標的細胞への結合を抑制する可能性がある[51]。
臨床研究では、軽症、中等症または重症のCOVID-19肺炎患者には、本剤に禁忌がない場合には、クロロキン500mgを1日2回、10日間投与することが推奨されている。成人にはクロロキンとして600mgを投与し、1日目12時間後に300mgを投与する。その後、2~5日目に300mg/2日投与し、副作用のリスクを減らすために5日目で治療を終了すると、本剤は長い半減期(30時間)を有する[52]。クロロキンは、1.13μMおよび6.90μMの50%および90%有効濃度(EC50およびEC90値)を用いて、ベロE6細胞におけるSARS-CoV-2に対して効率的であった。したがって、クロロキンは、COVID-19患者における肺炎の進展を改善する[53]。
また、クロロキンは、シアル酸生合成に関与するUDP-N-アセチルグルコサミン2-エピメラーゼ[54]の構造的隣人である酵素キノン還元酵素2の活性を低下させる。この酸は、リガンド認識に関与する細胞膜貫通タンパク質上にある糖鎖の末端に位置する酸性単糖である。クロロキンがシアル酸の生合成を阻害すると、いくつかのウイルスがシアル酸残基を受容体として使用していることから、その薬剤の幅広い抗ウイルススペクトルの原因となる可能性がある。
ヒドロキシクロロキンは、側鎖の末端に水酸基を有するので、クロロキンとは異なる。この分子は、硫酸ヒドロキシクロロキンとして経口摂取することができる。ヒドロキシクロロキンの薬物動態はクロロキンに似ており、消化管での吸収が早く、腎臓での排泄も早いである。ヒドロキシクロロキンは耐容性に優れており,高用量で長期間使用することができる[56]。
今回のSARS-CoV-2の世界感染では、ヒドロキシクロロキンとマクロライド系抗生物質であるアジスロマイシンを併用して治療したところ、100%の患者がウイルス学的に治癒したのに対し、ヒドロキシクロロキン単独で治療した患者は57.1%、対照群では12.5%に過ぎなかった。以上のことから,SARS-CoV-2による肺炎患者には,クロロキンとヒドロキシクロロキンを併用すべきであると結論づけられた。
また、クロロキンはCOVID-19の予防的治療法としても提案されている[57]。この研究では、著者らはクロロキン600mgを14日間投与し、7日目のウイルス負荷を低下させることで、ヒドロキシクロロキンの50%の有効性を見出した。また、2人の患者(母子)でヒドロキシクロロキンの投与が失敗したことも報告されており、抵抗性のメカニズムによるものと思われると結論づけている。しかし、薬剤投与による副作用の有無については言及されなかった[58]。
4. クロロキンとヒドロキシクロロキンの欠点
心血管系の副作用、特に心電図上の QT 間隔の延長と低血圧が、いくつかのキノリンや他の構造的に関連した抗マラリア薬の使用に伴って認められている。QT 間隔の延長は、致死的な多型心室性頻脈性不整脈へと変化する可能性のある Torsade de Pointe の発症リスクの非特異的バイオマーカーである。したがって、パンデミック時に大量に使用される場合のキノリンおよび他の構造的に関連する抗マラリア薬の心血管系の安全性を見直す必要がある。
現在、クロロキンとヒドロキシクロロキンの使用による影響について、いくつかの臨床試験が登録されている。これらの薬剤を併用する臨床試験がある。しかし、COVID-19対策のための緊急事態であることは事実であっても、死因はウイルスによる感染以外にも治療に伴う他の要因によるものである可能性があることを常に念頭に置いておかなければならない。したがって、薬剤の用量および相互作用は、ウイルスに対する作用機序に対するそれらの有益な効果とは独立して慎重に分析されなければならない。
ウイルスを排除するための大規模な治療におけるキノリンに対する構造的に関連した抗マラリア薬の採用の増加は、それらの心血管系の安全性特性を詳細に研究し、治療中の心電図をモニターして分析することを必要とするようになっている[58]。このことは、構造的心電図異常と中央値(1207g)を超える抗マラリア薬の累積投与量との関係が認められたエリテマトーデス患者を対象とした報告された研究によってさらに強調されている[59]。
心筋の炎症と線維化は、異なる基礎病態生理を有するリズム障害と関連している可能性がある。心筋細胞の壊死は、構造リモデリングにつながる炎症性プロセスと酸化ストレスによって引き起こされる可能性がある。さらに、慢性炎症は自己免疫疾患と交感神経の過剰活性化と副交感神経機能の低下を含む自律神経機能障害を結びつけている。心臓不整脈はまた、自己抗体が介在する2型ムスカリン性コリン作動性受容体、β1-アドレナリン作動性受容体シグナル伝達カリウムまたはL型カルシウム電流の阻害によって引き起こされることがある。自己免疫疾患患者では、クロロキン、メトトレキサート、およびコルチコステロイドによる薬物誘発性不整脈も現れることがある[60]。したがって、緊急時にはこの種の薬剤の使用が正当化されるが、治療による死亡につながる可能性があるため、医学的・相互作用の監視は必須である。
抗ウイルス薬
ヌクレオチドアナログであるレムデシビルは,EBOV RNA 依存性 RNA ポリメラーゼを阻害する.EBOVの疾患に対してレムデシビルによる治療を受けた499人の患者の予備的な知見によると、感染初期の患者の死亡率は33%であった。同じ著者は、パンデミック期に治療を受けなかった1900人の感染者の死亡率が75%であったことを指摘している[61]。
レムデシビルはウイルスRNAポリメラーゼに作用し、ウイルスエキソヌクレアーゼによるプルーフリーディングを回避し、ウイルスRNAの産生を減少させる。ウイルスからのRNAのナッセント鎖の懸濁が遅くなることが、レムデシビルの抗ウイルス機序として示唆されている。レムデシビルは多くのEBOVバリアントに対して抗ウイルス活性を有していた[62]。試験管内試験(in vitro)研究では,レムデシビルはMERS-CoVやSARS-CoVを含むコロナウイルスの複製を抑制することが示された。ヒト初代気道の上皮細胞培養物を用いた試験管内試験(in vitro)試験では、レムデシビルはヒト肺細胞におけるBat-CoVやその他の循環ヒトCoVに対して有効であった。別の研究では,レムデシビルとINF-βは,試験管内試験(in vitro)およびMERS-CoVマウスモデルにおいて,ロピナビル,リトナビルおよびINF-βよりも有効であることが示されている。したがって,レムデシビルはCOVID-19患者の治療の代替薬となる可能性がある[63].現在、重度のCOVID-19患者452名を対象とした第3相無作為化プラセボ対照二重盲検多施設共同試験が進行中であり、レムデシビルの効率性と安全性を検討している[64]。SARS-CoV-2の治療には、オセルタミビル、ロピナビル/リトナビル、ガンシクロビル、リバビリンを含む抗ウイルス剤が使用されている[65]。
5. 抗炎症薬
トシリズマブにより、IL-1およびIL-6の放出が抑制される。したがって、本剤はウイルス感染症を含む多くの炎症性疾患の治療効果を有しており[15]、COVID-19の治療に役立つ可能性がある。また、SARS-CoV-2によって誘導される炎症状態は、後天的・自然免疫応答を抑制するサイトカインIL-37の過剰発現によっても減少する可能性がある。また、IL-37はIL-18Rα受容体に作用して炎症を抑制する。IL-37はmTORに作用し、免疫抑制作用を持つアデノシン一リン酸キナーゼを上昇させる。IL-6、IL-1β、CCL-2、TNF-αを阻害することで、炎症やクラスII組織適合性複合体の分子を抑制する。
COVID-19の患者に役立つ可能性のある別の抑制性サイトカインは、マクロファージおよびB細胞を含むいくつかの免疫細胞によって産生されるIL-1ファミリーの最新のサイトカインであるIL-38であり、IL-38は、IL-1βおよび他のプロ炎症性サイトカインを抑制する[15]。
SARS-CoV-2に対して提案されている他の薬剤は、ルキソリチニブ、フェドラチニブ、バリシチニブなどの骨髄線維症および関節リウマチに対して承認されているJAK阻害剤である。これらの薬剤は強力な抗炎症剤であり、COVID-19を有する人々に一般的に存在するサイトカインレベル(IFN-γを含む)の上昇の影響に対して有用であるかもしれない。それらは、JAK-STATシグナル伝達を阻害することによって作用し、3つのそれらが同様の効果を有するとしても、バリシチニブのAAK-1に対する高い親和性は、それがグループの中で最高であることを示唆している。これは、1日1回の経口投与で副作用が少ないことから、さらに増強されている。さらに、バリシチニブは、CYP酵素を代謝する薬剤との相互作用が減少するため、直接作用する抗ウイルス剤(ロピナビルまたはリトナビルおよびレムデシビル)と組み合わせて、COVID-19パンデミックで現在試験されている抗ウイルス剤と組み合わせることができる。バリシチニブと直接作用型抗ウイルス薬の組み合わせは、ウイルスの複製、ウイルス感染性、および正常な宿主の炎症反応を減少させる可能性がある[66]。
しかし、これらの薬剤は肝臓で代謝され、クロロキンおよびヒドロキシクロロキン硫酸塩、オセルタミビル、リバビリンおよびロピナビル/リトナビルから産生される代謝物のほとんどは尿中に排泄される。したがって、肝臓や腎臓の障害により代謝が障害される可能性がある[66]。
6. コルチコステロイド
重症MERS-CoVおよびSARS-CoV-1の発生時にコルチコステロイドの使用が広まり、現在ではSARS-CoV-2の患者に他の治療薬との併用で採用されている。COVID-19の重症患者の管理として、低用量の全身性コルチコステロイドと抗ウイルス剤の併用治療とインターフェロンの噴霧吸入が提案されている[67]。
コルチコステロイドは肺の炎症を抑制し、免疫反応を低下させながら病原体のクリアランスを増加させる。全身性の炎症は、インフルエンザおよびSARS-CoV感染の重症症例では、有害転帰と関連している。SARSでは、ウイルスクリアランス後も炎症が残っている。SARSやMERS感染症では、肺組織学的に炎症、びまん性肺胞損傷、敗血症性ショックがあることを示している。これらの状態はCOVID-19の患者さんでも報告されている。
コルチコステロイドは、その効率性に不確実性があっても、敗血症性ショックでは一般的に使用されている。敗血症性ショックの試験では、ほとんどの患者が細菌感染を示し、それが心筋不全および血管拡張性ショックをもたらすことも報告されている。しかし、侵襲的人工呼吸では胸腔内圧が上昇し、重度の低酸素呼吸不全ではショックを起こし、心臓の充満が損なわれ、血管開放ではない。したがって、SARS-CoV-2による肺障害に対しては、コルチコステロイドを用いた治療を行うべきではない[68]。
7. アルビドール
アルビドールはロシアで長年使用されてきた薬で、ウミフェノビルとも呼ばれている。ロシアと中国では、インフルエンザウイルス感染症の治療に承認された。アルビドールは副作用が少なく、SARSの治療に承認されている[69]。アルビドールまたはエチル-6-ブロモ-4-I(ジメチルアミノ)メチル-ヒドロキシ1-メチル-2((フェニルチオ)メチル)-インド-3カルボン酸塩酸塩一水和物は、小さなインドール誘導体である。それは、血清IFNを増加させ、貪食細胞を活性化させる免疫系を刺激し、それはまた、呼吸器ウイルスに直接効果を持っている。
アルビドール分子は幅広い抗ウイルス活性を持ち、宿主細胞とウイルスの間の相互作用の重要なステップを阻害する。アルビドールはウイルスに直接作用し、細胞の結合、内部化、複製を含むウイルスのライフサイクルの様々な段階を修正する。アルビドールは、脂質とタンパク質残基に結合し、ウイルスの侵入とその融合、出芽、複製、組み立て、およびウイルス抵抗性の入り口を抑制する[70]。
アルビドールは、ロシアの科学者の共同コンソーシアムによって 40 年前に発明された。アルビドールは、2006 年から中国でインフルエンザ A および B ウイルスおよびその他のヒト病原性呼吸器ウイルスによって引き起こされるヒト肺疾患の治療および予防に使用されており、ロシア市場では 20 年前から販売されている[71]。また、中国における家禽インフルエンザのパンデミック防止にも有用であることが証明されている。その臨床的有効性は、1990 年代にロシアで初めて報告され、発表された [71,72]。アルビドールは、急性呼吸器ウイルス感染症に対して、予防的および治癒的治療において費用対効果がある[72]。
アルビドールは薬理学的アプローチでしか使用されていないため、慢性投与での安全性を厳密に評価するための毒性に関するデータが不十分である。それにもかかわらず、その良好な忍容性についてコメントしている多くの研究がある。効果的な抗ウイルス療法を必要とする第三世界の国々にとっては高価ではない。このパンデミックの状況では、現在臨床試験が行われている[72]。
抗ウイルス薬の組み合わせは、アルビドールやカリマイシンなどの他の薬剤との併用が試験されており、新型コロナウイルス感染症に対する有効性が報告されている。したがって、その使用が広く提案されている([73] ClinicalTrials.gov. Identifier NCT04275388)。現在、COVID-19-versus ARBに対するロピナビル・リトナビル治療と他の薬剤との比較試験がいくつか行われている([74] ClinicalTrials.gov, Identifier NCT04295551)。
8. ダノプレビル
ダノプレビルはHCV NS3プロテアーゼ阻害薬として中国で承認された。リバビリン、リトナビル、ペグインターフェロン-α [75] と併用して、非肝硬変性ジェノタイプ1b慢性C型肝炎の治療に使用される可能性がある。現在、COVID-19に対する使用のための試験研究が開始されている。
9. 併存疾患に応じた治療法の選択の重要性
COVID-19に感染した患者は、MSを構成する糖尿病、高血圧、肥満などの併存疾患がある場合に死亡するリスクが高い。さらに、先行研究で報告されているように、ウイルス感染に関連した心損傷がある場合には、より高い死亡率がある([76] ClinicalTrials.gov, Identifier NCT04291729)。したがって、緊急時においても併用療法の各薬剤の作用機序を考慮する必要がある。また、相互作用や用量についても毒性を考慮しなければならないが、予期せぬ場合には、疾患そのものよりも大きな副作用が予想され、より危険な状態になる可能性がある。
ロピナビル/リトナビルは、糖尿病のある被験者の場合、コレステロールや中性脂肪の濃度を上昇させたり、血糖値を上昇させたりするなどの副作用が現れることがある。また、HIV治療後に見られるように、免疫系が回復し始めると時折起こる免疫再構築の炎症性症候群の一部として、免疫系の状態が変化することがある[77]。また、これらの薬剤の組み合わせは、血友病患者においてリポジストロフィー症候群を誘発し、出血エピソードを増加させる可能性がある。
これらの薬剤の併用は、クリアランスがCYP3Aに依存している薬剤や、形質濃度が患者の生命を脅かすような重篤な影響を及ぼす可能性がある薬剤との併用は避けるべきである。
また、COVID-19感染は高齢者の死亡率の上昇をもたらすことが報告されている。それにもかかわらず、この高い死亡率は、併存疾患と、これらの患者が通常、他の状態を治療するために他の薬を投与されており、リトナビルを使用している可能性があるという事実に関連している可能性がある。これらの条件のいくつかは、前立腺肥大である可能性がある。前立腺肥大の患者は、アルフゾシンによる治療を受けており、これはリトナビルと併用すると重度の低血圧になりやすい[78]。リトナビルはアルフゾシンの濃度を上昇させ、死に至る錯乱因子を構成する可能性がある。また、多くの高齢者患者が不整脈の治療を受けている[79]。アミオダロンの使用は、そのプラスミド濃度を増加させ、COVID-19の治療に使用される薬剤の不整脈または他の副作用のリスクを増加させる。抗精神病薬および神経弛緩薬の使用も高齢患者では一般的である。それらをリトナビルやピモジドと併用すると、重篤な血液疾患のリスクが高まる。リトナビルとアステミゾール、テルフェナジンなどの抗ヒスタミン薬、または胃の運動性を制御する薬との併用は、それらの濃度を高め、不整脈を引き起こす[77]。
さらに、肺動脈性高血圧症のコントロールにも使用されるシルデナフィルなどの鎮静剤の使用は、リトナビルとの併用により失神を引き起こす可能性がある。また、セントジョンハーブ(Hypericum perforatum)を含有する化合物を用いた代替医療を使用している患者では、ロピナビル及びリトナビルの濃度及び臨床効果が低下する可能性がある[64,78]。この原稿で取り上げた
薬剤の効果を表1にまとめた。
表1. このレビューで取り上げられた様々な薬物の治療、作用機序および副作用。
原文参照
10. 当グループによるアジュバント抗酸化療法の提案
敗血症性ショックにおける抗酸化療法は、古くからヒポクラテスによって提案されており、ミルラ(Commiphora mukul, Commiphora myrrha)を治療薬として、また抗炎症目的で使用していた[80]。現在、抗酸化療法は世界中で様々な疾患に用いられている[81]。
私たちのグループによる研究では、まだ発表されたばかりであるが、抗酸化剤の使用は、肺敗血症患者において統計学的に有意な改善を示したことがわかった。重症時には酸化ストレスが上昇し、酸化的損傷が臓器不全に関与している。グルタミンや抗酸化ビタミンの投与は、栄養サポートの中で、または予防期間中に別の薬として投与することで、OSを減衰させる可能性がある[81]。
敗血症性ショックでは、動脈拡張による全身血管抵抗の低下を伴う心拍出量の増加がみられる[82]。血管抵抗の過度または長期的な低下は、血管抑制剤の使用に対して抵抗性の低血圧を生じさせ、重度の心不全を引き起こす可能性がある [83]。敗血症は、感染に対する宿主の不適切な反応に起因する生命を脅かす臓器機能不全である。これは、高い死亡率を決定する細胞および代謝機能障害からなる[84]。敗血症は、多臓器不全(MOF)患者では最大80%に達するため、世界的にICUにおける最大の死亡原因となっている[85]。したがって、我々の予備的な結果と上記のエビデンスを考慮して、敗血症が存在するCOVID-19の薬理学的治療を補完する手段として抗酸化療法の使用を提案する。
抗酸化療法はCOVID-19では試験されていないが、呼吸不全、特にALIやARDSにおける抗酸化療法の結果は以前のメタアナリシス[86]で報告されており、COVID-19患者の転帰を改善する唯一のアプローチである支持戦略と肺保護換気を助けることができると結論づけられている。個々の炎症性サイトカインを抗体でブロックしたり、抗酸化剤を単独で使用したりすることは、これらの疾患の複雑な性質のため、あまり有用であることが証明されておらず、換気のサポートとして、また他の薬理学的戦略と一緒に作用するだけである[87]。
今日では、全身状態のために抗酸化剤と抗炎症剤を組み合わせた天然化合物を採用する治療法に関心が寄せられている。提案されている天然物の多くは、抗酸化防御機構を活性化しながらプロ炎症性シグナル伝達を阻害するなどの多元的な効果を有する。さらに、これらの天然物は、アジア亜大陸では何世紀にもわたって、毒性が少なく使用されていた。しかし、これらの化合物の薬物動態および薬力学は、それらが治療薬として実施される前に、ヒト試験で試験されなければならない[88]。我々は、COVID-19の治療のために、以下の抗酸化化合物の1つ以上の使用を提案する。
11. N-アセチルシステイン
前臨床研究では、グルタチオンの前駆体であるN-アセチルシステイン(NAC)の投与は、細胞内グルタチオンの含有量を増加させるので、酸化ストレス肺損傷を制限する戦略として提案されている[89]。多くの肺疾患の中心的な特徴は、肺胞と肺組織の両方で発生するグルタチオンの代謝の変化である[90]。NACはグルタチオン合成を増加させ、グルタチオン-S-トランスフェラーゼ活性を上昇させ、フリーラジカルに対して直接作用する。しかし、NACによる治療は、肺組織のミエロペルオキシダーゼ活性または3-ニトロチロシンレベルを低下させない[91]。N-アセチルシステインの適用は、IL-8、IL-6、ICAMおよび腫瘍壊死p55の可溶性α受容体のレベルを低下させる。これらのメカニズムは、炎症性免疫応答の適切な制御に起因すると考えられる。敗血症性ショック患者におけるNACの使用による臨床行動に関連して、機械的換気時間の短縮とICU滞在日数の減少が見出されている[92]。
リポソーム(L-NAC)の使用は、NACの吸収と細胞内濃度を上昇させる。L-NAC(25mg/kg静注)で前処理すると非チオール性タンパク質が高く、肺のホモジネート中のNAC濃度が上昇した。肺の脂質過酸化、クロラミン濃度、ACEの損傷、肺水腫、トロンボキサン、ロイコトリエンB2とB4の濃度は、LPS曝露動物にNACを投与すると減少した[93]。肺の抗酸化介入を適用する最も効果的な方法を確立するためには、さらなる研究が必要である[94]。
臨床試験では、急性肺損傷ALIまたはARDS患者を対象に、150mg/kgのNACをボーラスで4日間補充した後、50mg/kg/日のNACを補充すると、1日目から4日目までの酸素化率が改善され、死亡率が減少した。しかし、機械的換気時間には効果がなかった[95]。敗血症性ショック患者を対象とした無作為化二重盲検プラセボ対照臨床試験では、NACによる管理を受けた患者群で血行動態変数の改善と臓器不全の解消が認められた[96]。敗血症性ショック患者における炎症のバイオマーカーに対する血行力学的効果を評価した二重盲検プラセボ対照臨床試験で,NAC治療を受けた群では,血行動態の改善と臓器不全の解消が認められた[96].その結果、NAC治療は酸素化、静肺コンプライアンス、IL-8および可溶性TNF-α受容体p55のレベルを改善することが示された。NAC治療を受けた患者では、機械的換気時間の短縮とICU滞在期間の短縮が認められた[97]。
しかし、2つ以上の臓器不全を有する人工呼吸患者を対象に実施された別のランダム化二重盲検プラセボ対照臨床試験では、NACを投与された患者では、NACを投与された患者でのICU滞在期間が短くなることが報告されている[97]。さらに、これらの著者は、入院24時間後に治療を受けた患者で死亡率が増加したことを報告した[98]。
早期敗血症性ショック患者における肝血流、肝脾臓酸素輸送および肝機能に対するNACの効果は、別の無作為化二重盲検プラセボ対照臨床試験で評価され、著者らはNAC注入後に肝脾臓血流および肝機能が改善し、これは心拍数の上昇に二次的に寄与したことを明らかにしている[99]。敗血症患者を対象とした別の研究では、NF-κBの活性化が低下し、IL-8、IL-6のレベルが低下したが、ICAM-1は有意差を示さなかったことが報告されている[100]。別の研究では、重症敗血症患者にNAC 50 mg/kg/4 hと100 mg/kg/24 hを投与した後の微小アルブミン尿と器質的機能障害のレベルを評価している。
別の研究では、70mg/kgのNACまたはシステインのプロドラッグ(OTZ-プロシステイン)である2-オキソチアゾリジン-4-カルボキシレート62mg/kgを静脈内補充(8時間/10日ごと)することで、心拍数の上昇と急性肺障害の持続時間の短縮が認められた[101]。しかし、死亡率はNACまたはOTZの補充では改善されなかった。この種の治療により急性肺損傷の期間が短縮される可能性がある[101,102]。
さらに、死亡率、入院期間、酸素化率、機械的換気時間と抗酸化物質の補給との相関関係は、給気管または気管挿管や意識レベルの低下によって変化する可能性がある。本研究では、43歳以上の集団の評価と男性が優勢であることも限界を構成している。
12. ビタミンCおよびE
ビタミンCは複数の酵素の補酵素であり、水溶性である[103]。ビタミンCのナトリウム依存性トランスポーターを介して腸レベルで吸収され、糸球体で自由に濾過され、同じトランスポーターを介して近位尿細管レベルで再吸収される[103]。ビタミンCは、O2-とiNOS mRNAの両方を産生するNAPH酸化酵素を阻害することで、OONO-とO2-の産生を抑制する。
また、eNOSの補酵素であるテトラヒドロビオプテリンの酸化を阻害することで、NOとO2-を生成するeNOSとのデカップリングを防ぎ、病的な血管収縮や血管透過性の低下を抑制する[43]。また、タイトジャンクションの維持に重要なオクルージンを脱リン酸化するプロテインホスファターゼ2Aの活性化を阻害することで、毛細血管の漏れを防ぐ効果もある。ビタミンCは、アポトーシス経路を活性化することで、ミトコンドリアの透過性に対して保護的な役割を果たす。また、ビタミンCはTNF-αを阻害し、ICAMの発現を誘導し、微小循環における白血球の接着性を増加させる [104]。
ビタミンCの血漿中濃度の低下は、摂取不足、酸化ストレスの増加または損失の増加による二次的な急性または慢性摂取が原因である可能性がある[105]。ビタミンCの低レベルは、いくつかの研究で重症患者で報告されている[106]。さらに、これらの患者では、推奨される1日の必要量を投与しているにもかかわらず、レベルが10μmol/L未満であることが報告されている[103]。このビタミンのレベルの低下は、臓器不全の重症度や死亡率と関連している[107]。
重症敗血症患者へのビタミンC投与の安全性を評価した研究では、2種類のビタミンC投与量(50mg/kg/24時間および200mg/kg/24時間)をプラセボと比較した。その結果、すべての敗血症患者でレベルの低下が認められた(17.9 ± 24 μM)。血漿中濃度は両治療群で劇的に上昇した。ビタミンC点滴を受けた患者では副作用は報告されなかった。
ビタミン C を投与された患者では,プラセボ群と比較して SOFA スコアの低下が大きかった。ビタミンC群では、C反応性蛋白質およびプロカルシトニンの低下が報告された。ビタミンC群ではプラセボ群と比較してトロンボモジュリンのレベルが低かった。28日死亡率も低用量ビタミンC群(38.1%)が高用量群(50.6%)、プラセボ群(65.1%)と比較して低用量群で低かった。機械的換気日数やICU滞在日数に差はなかった。
敗血症およびARDS患者を対象とした予備試験において、プラセボとは対照的に96時間ビタミンCを投与しても、血管障害、臓器機能障害スコア、炎症マーカーの改善はみられなかった。著者らは、ARDSにおける他の転帰に対するビタミンCの潜在的な役割を評価するためには、さらなる研究が必要であると結論づけている[108]。
しかし、抗酸化物質(320IU/LビタミンE、840mg/LビタミンC、320mg/Lタウリン)、エイコサペンタエン酸(4.5g/L)、γ-リノレン酸(4.3g/L)を濃縮した食事は、死亡の相対リスクが低いことが示された。機械的換気時間と集中治療室(ICU)滞在期間の長さも、このタイプの食事によって短縮された。また、この食事は機能不全臓器の数を減少させた[109]。
60 IU/Lのα-トコフェロール(ビタミンE)と340 mg/LのビタミンCを口腔胃管を通して投与された患者では、肺の罹患率と院内肺炎の相対リスクの低下が認められた。多臓器不全も低かった。また、ビタミン E とビタミン C の投与は、ICU 滞在期間を短縮した。しかし、イソプロステン濃度、白血球数、腫瘍壊死因子濃度、IL-1濃度、IL-6濃度は明らかに低下傾向にあったが、有意な変化は認められなかった。
この補充はまた、IL-8濃度を増加させた[110]。ビタミンEは細胞膜で最も重要な親油性抗酸化物質であり、脂質過酸化を防止する[111]。ビタミンCはビタミンEを再生して抗酸化作用を高め、脂質過酸化を回避し、脂溶性活性酸素を隔離する。二重盲検プラセボ対照臨床試験[112]では、ビタミンCとビタミンEで治療した患者で28日目の死亡率が有意に減少し、機械換気の日数が減少したことが明らかになった。
重度の術後患者におけるビタミンEとビタミンCの併用療法の効果は、ARDSまたは肺炎の発生率の減少、臓器不全の減少、28日目の死亡率の減少傾向をもたらした。ビタミンEの最も関連する機能は、その抗酸化作用である。しかし、他にも細胞膜の安定化や感染症に対する十分な免疫応答の維持などの重要な作用がある[114]。ビタミンEとビタミンCの併用治療は、COVID-19に起因する肺の酸化ストレスや全身性炎症による有機的損傷をさらに減少させることができる非常に有望な選択肢であると考えている[115]。
13. メラトニン
N-アセチル-5-メトキシトリプタミンはメラトニン(MT)とも呼ばれ、脊椎動物の松果体分泌の主な内因性産物であり、循環および脳脊髄液に放出される[116]。MTは敗血症抑制剤として提案されている。その広い細胞外・細胞内分布と様々な器官での合成は、様々なメカニズムを介して多くの生理学的プロセスを調節するMTの役割を説明することができる。現在までのところ、敗血症性ショックのヒトを対象としたMTを用いた研究は知られていない[117]。
MTは、細胞膜の脂質、細胞質タンパク質、核およびミトコンドリアDNAを保護する活性酸素隔離特性を有することが示されている[116,117]。試験管内試験(in vitro)および生体内試験(in vivo)での研究では、脂質の過酸化を防ぎ[118]、膜の流動性を高めることで膜の透過性を維持し[119]、酸化ストレス下にある小器官のグルタチオンの恒常性とミトコンドリア機能を回復させることで、ミトコンドリアのハイドロパーオキサイドのレベルを低下させることが示されている[120]。
また、MTはγ-グルタミルシステイン合成酵素を刺激することができるため、細胞内のグルタチオン合成を増加させることができる[121]。その抗酸化メカニズムのもう一つは、いくつかの疾患で減少しているミトコンドリアの活性の回復を介して、肝臓のミトコンドリアによるO2の消費を減少させることである。このようにして、過剰な酸化的損傷から臓器を保護する[122]。
敗血症に続発する急性肺損傷については、eNOSとiNOSの過剰発現のデカップリングの増加に由来する活性酸素とRNSの増加が記述されており[123]、これは気管支上皮細胞によるTNF-α、IL-6、IL-9などのプロ炎症性メディエーターの増加と放出に関連している。これはマクロファージ[124]につながり、好中球および他のマクロファージを活性化して肺胞破壊および小気道の崩壊を引き起こす。これらの変化は、内皮の損傷、肺毛細血管透過性の亢進、肺水腫を誘発し、ガス交換の悪化を引き起こす[125]。
14. ケルセチン
2-(3,4-ジヒドロキシフェニル)-3,5,7-トリヒドロキシ-4H-クロメン-4-ノ、別名、ケルセチン(QRC)は、フラボノイドと呼ばれるポリフェノールのグループに属する植物の誘導体である。それはアグリコンである。QRCの主な天然のソースは、タマネギ、リンゴ、紅茶が含まれている。QRCは、抗ウイルス作用、心臓保護作用、抗酸化作用、抗炎症作用、抗がん作 用を有している[126]。
小腸では、QRCは吸収され、直ちに上皮細胞内の酵素によって代謝され、その後肝臓で代謝される。QRCのカテコール基はカテコール-O-メチルトランスフェラーゼによって3′-4′の位置でメチル化され、その結果、イソラムネチン(3’OCH3-QRC)またはタマリキセチン(4′OCH3-QRC)が形成される。これらの代謝物は、QRCとともに、それぞれUCP-グルクロン酸転移酵素またはスルホ転移酵素によって、その水酸基をグルクロン酸または硫酸と共役させることができる[127]。
QRCの分布(50および500mg/kgを11週間投与した場合)については、QRCの濃度が最も高いのは肺で、最も低いのはラットの脳および白色脂肪組織であるが、代謝物であるアグリコン・イソラムネチンの濃度は肝臓で高くなっている[128]。QRCはほとんどの人に安全である。しかし、1日1gまでの用量では、頭痛や手足の麻痺などの副作用を誘発することがあり、これらは可逆的である。
安全性は、腎毒性のリスクがあるため、高用量の使用でのみ影響を受ける[129]。一方、キノロンなどの抗生物質、抗悪性腫瘍薬、シクロスポリンなどの免疫抑制薬との相互作用が知られており、それらの副作用が増加する。
また、ジクロフェナク、セレコキシブ、フルバスタチン、グリピジド、イブプロフェン、イルベサルタン、ロサルタン、フェニトインなどの使用とチトクロームp450 2C9基質(CYP2C9)との相互作用や、パクリタキセル、ロシグリタゾン、アミオダロン、ベラパミルなどのp450 2C(CYP2C8)との相互作用も知られている。
しかし、QRCは、現在、それはブドウ、イチゴ、ブラックベリー、フェンネル、レタス、豆の[130]を含む食品と、食事を介して得ることができるので、最初の無症状の段階から、このパンデミックで使用することができる多面的な治療アプリケーションとフラボノイドとして約束されている。
H. cordataに含まれるQRCは、単純ヘルペス、メンゴウイルス、仮性アラビウス、パラインフルエンザ3型、シンドビスウイルス、呼吸器シンシアなどのウイルスを阻害する[131]。QRCはリソソーム膜のH+-ATPaseを阻害し、ウイルスの除去を阻害する[127]。
さらに、QRCは多くの薬剤耐性に関係するタンパク質のATPaseを阻害することで、がんやウイルスに対する薬剤のバイオアベイラビリティーを高めることができる。したがって、QRCは抗ウイルス剤として有効であると考えられている[131]。
15. ペントキシフィリン
ペントキシフィリンは、アルコール性肝炎のいくつかの深刻なケースで示されたキサンチンである。また、赤血球の血漿膜に作用し、血流を改善する。ペントキシフィリンは、いくつかの抗酸化作用と抗炎症作用を発揮し、グルタチオンのレベルを復元し、ミトコンドリアの生存率を維持し、それはTNF-αの生産を阻害し、それは血管内皮機能を維持する。また、酸素化率を改善し、より強力な免疫応答を誘導する [132]。ALI/ARDS患者では、入院期間、ICU滞在期間、多臓器機能障害の発生率、機械的換気時間、死亡率を減少させる[133]。
平均妊娠30週齢の新生児120人を対象とした無作為化比較試験では、ペントキシフィリン(5mg/kg/hを6日間、6時間、静脈内投与)の投与により、CRPおよびTNF-αのレベルが低下し、呼吸補助および抗生物質治療の持続時間が減少し、血管抑制剤の必要性が減少し、入院時間が短縮され、代謝性アシドーシス、血小板減少症、および播種性血管内凝固症の発生率が減少した[134]。
しかし、ペントキシフィリンで治療した新生児と未治療の敗血症の新生児との間では、短期的な罹患率に差は認められなかった[135]。6件の研究を含むメタアナリシスでは、敗血症の新生児にペントキシフィリンを投与すると、入院期間の短縮と死亡率の全原因の減少に効果的であることが示された。また、早産児、新生児、敗血症が証明された乳児、グラム陰性敗血症の乳児の死亡率が有意に減少したことがサブグループ分析で示されており、その結果、ペントキシフェリンは敗血症における有益な補助療法である可能性があり[136]、COVID-19にも使用できるという結論に至った。
ペントキシフィリンによる治療は、最近の脳出血または網膜出血を有する患者、活動性出血を有する患者、冠動脈疾患を有する患者、および腎機能または肝機能に障害のある患者では禁忌とされている。したがって、血小板機能を阻害する薬剤や、凝固因子であるクマリン、ヘパリン、インダンジオン誘導体、セフォテタン、セファマンドール、バルプロ酸、プリカマイシン等とのペントキシフィリンの併用は、出血のリスクを高める可能性がある。メチルキサンチン系薬剤や交感神経系薬剤との併用は、中枢神経系の過剰刺激を引き起こす可能性がある[133]。原稿で取り上げたSARS-Cov-2感染症による患者に対する抗酸化剤の効果を表2にまとめた。
表2. COVID-19感染患者の治療のためのアジュバント療法として提案されている抗酸化剤と臨床効果
原文参照
抗酸化剤による治療管理の提案
COVID-19の治療におけるアジュバントとしての抗酸化剤の有用性を試験する研究のデザインは、ペントキシフィリンと併用してもよいし、併用しなくてもよい抗酸化剤のそれぞれの使用に関して非ランダム化でなければならない。その併用は、標準用量でのマクロライド、ヒドロキシクロロキンまたは抗ウイルス剤の使用に加えてもよいし、加えなくてもよい。治療決定は、SARS-Cov-2に感染している患者のベースラインの併存状態と、入院時の慢性疾患に使用されている薬剤に基づいて行わなければならない。そのためには,治療決定ツリーと患者ごとの個別化された管理アルゴリズムを実施しなければならない.表3にCOVID-19患者に対する抗酸化剤による治療管理の提案アルゴリズムを示す。
表3.COVID-19患者に対する抗酸化剤を用いた治療的管理のためのアルゴリズムの提案

要約すると、抗酸化物質の補給は、酸素化率の改善、グルタチオンの増加、免疫反応の強化をもたらすことが報告されている。ALI/ARDS患者では、機械的換気時間、入院期間、ICU滞在期間、死亡率、多臓器不全率の減少が見られる。それにもかかわらず、抗酸化物質の補充の利点を補強するためには、より多くの研究が必要である。現在のCOVID-19パンデミックにおけるこれらの補完手段の使用は、これまでに提案されたことも使用されたこともない。
16. 結論
数時間で肺胞崩壊に発展し、酸素交換の停止に至る重篤な肺炎を引き起こすコロナウイルス症2019は、重症急性呼吸器症候群コロナウイルス2が原因である。SARS-CoV-2は、β-コロナウイルスの仲間である。宿主内の受容体による認識、宿主膜のプロテアーゼ切断、融合によりウイルスの透過性と病原性が決定される。
ACE2受容体はSARS-CoV-2の全標的臓器における機能的受容体である。ACE2受容体の数が疾患やその治療によって変化するため、ウイルスによる感染のメカニズムは、死亡率を高める併存疾患と相関している。多くの治療法が提案されており、COVID-19患者に対して試験が行われている。
これらの患者の状態を改善するために、抗酸化剤の使用を提案している。酸化剤は、組織に侵入する好中球、単球、マクロファージおよび好酸球などの貪食性白血球から来る。フリーラジカルは細胞を傷つける細胞毒性を促進する。それらは必要な細胞の部品を分解し、組織の interstitium のプロテアーゼ/反プロテアーゼのバランスを変える。
また、これらのフリーラジカルは、初期の侮辱に続く炎症のメカニズムを誘発する。COVID-19では、サイトカインストームとして知られている激しい炎症反応がある。酸化ストレスはNF-κBの活性化を仲介し、特定の遺伝子の転写を誘導してサイトカイン産生を促進する。
これらのサイトカインの放出は炎症反応を促進する。この疾患では抗酸化療法はテストされていないが、呼吸不全、特にALI/ARDSでは抗酸化療法の効果が報告されている。酸素化率を改善し、グルタチオンを増加させ、より強い免疫反応を促進する。ALI/ARDS患者では、機械的換気時間、入院期間、ICU滞在期間、死亡率、多臓器不全率の低下が認められており、重度のCOVID-19患者にも効果があると考えられている。
